Go back
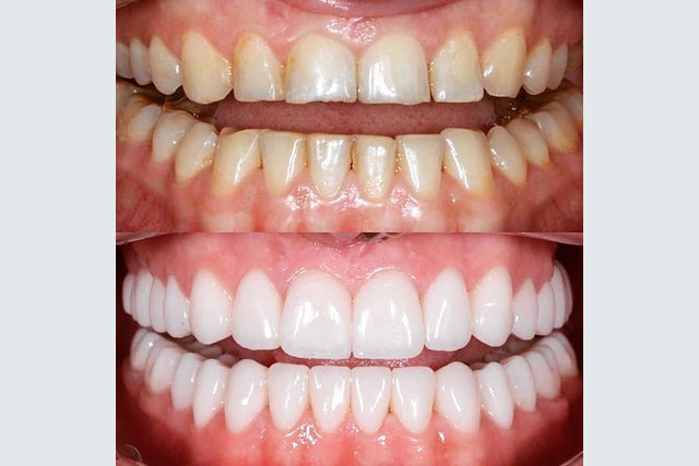
Veneers


