Our Orthodontists
Did you know that only 5% of all licensed dentists are specialized in orthodontics? Our Harvard, USC, and UCLA-trained doctors are dedicated to creating one-of-a-kind smile transformations. Call us to schedule your free consultation.
Three way to Straighten Your Teeth
What our clients say
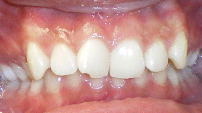
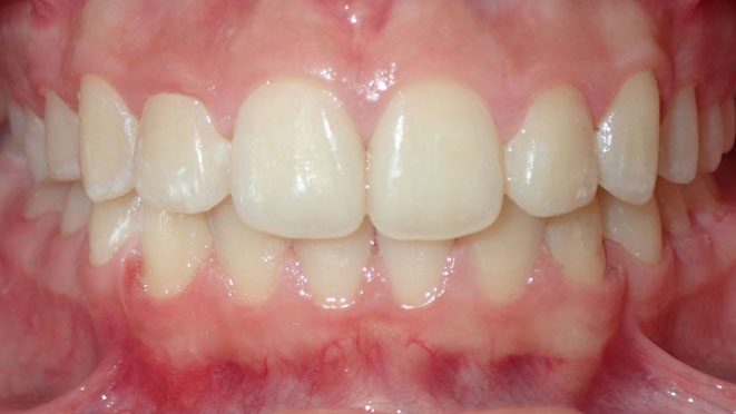
Gallery













































